Home
Categories
EXPLORE
True Crime
Comedy
Society & Culture
Business
Sports
History
Music
About Us
Contact Us
Copyright
© 2024 PodJoint
00:00 / 00:00
Sign in

or

Don't have an account?
Sign up
Forgot password
https://is1-ssl.mzstatic.com/image/thumb/PodcastSource112/v4/39/58/37/3958378b-69e7-6a82-6829-413f85c726af/106be477-ba11-4c45-9c08-44b4d8ed7c27.JPG/600x600bb.jpg
Dr, Responde Aí
Dr. Irlon Oliveira - Neurocirurgião
5 episodes
1 month ago
Você conhece alguém na terceira idade ?. Muitos de nós aqui, além de conhecer, devemos conviver com alguma pessoa idosa. Então imaginem só...
Show more...
Health & Fitness
RSS
All content for Dr, Responde Aí is the property of Dr. Irlon Oliveira - Neurocirurgião and is served directly from their servers with no modification, redirects, or rehosting. The podcast is not affiliated with or endorsed by Podjoint in any way.
Você conhece alguém na terceira idade ?. Muitos de nós aqui, além de conhecer, devemos conviver com alguma pessoa idosa. Então imaginem só...
Show more...
Health & Fitness
https://i1.sndcdn.com/artworks-NdJbJHf7tGrlnZNy-njs8Og-t3000x3000.jpg
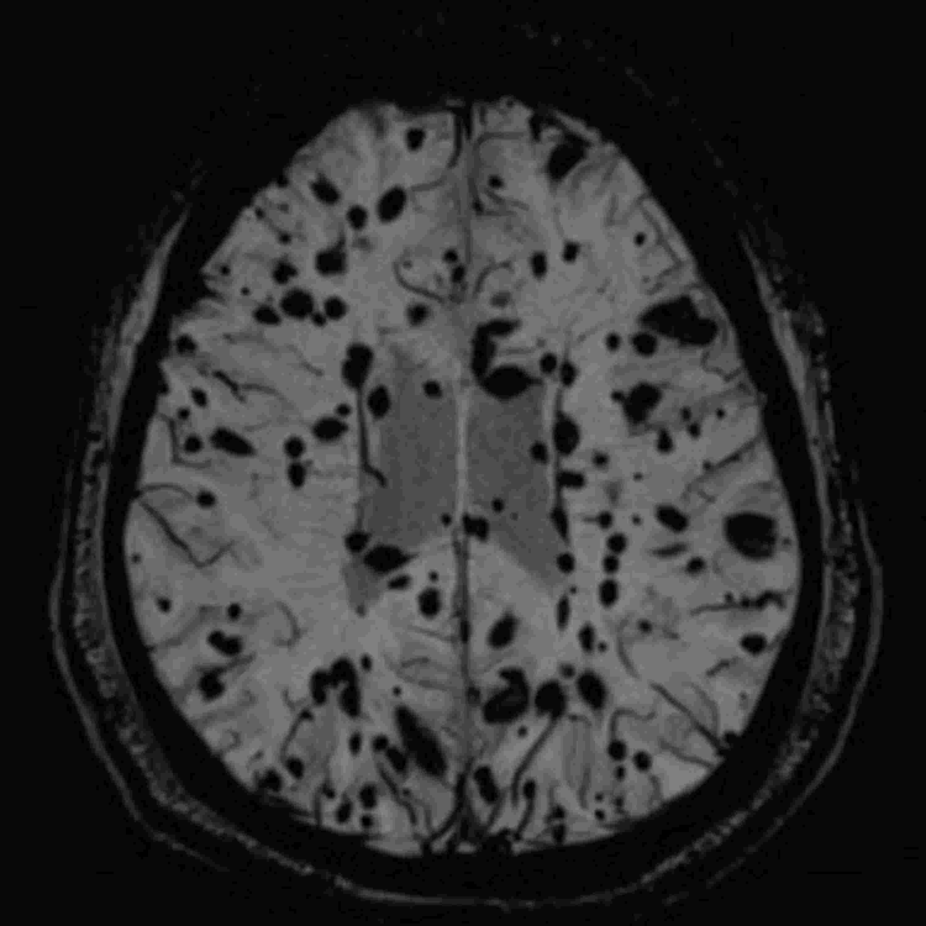
Cavernomas - Dr Responde Aí - #4
Dr, Responde Aí
5 minutes 32 seconds
3 years ago
Cavernomas - Dr Responde Aí - #4
Perguntas e respostas sobre Cavernomas Cerebrais. O que é um cavernoma? Sinais e sintomas dos cavernomas cerebrais? Diagnóstico dos cavernosas cerebrais. Tratamento dos cavernosas cerebrais.
Dr, Responde Aí
Você conhece alguém na terceira idade ?. Muitos de nós aqui, além de conhecer, devemos conviver com alguma pessoa idosa. Então imaginem só...