
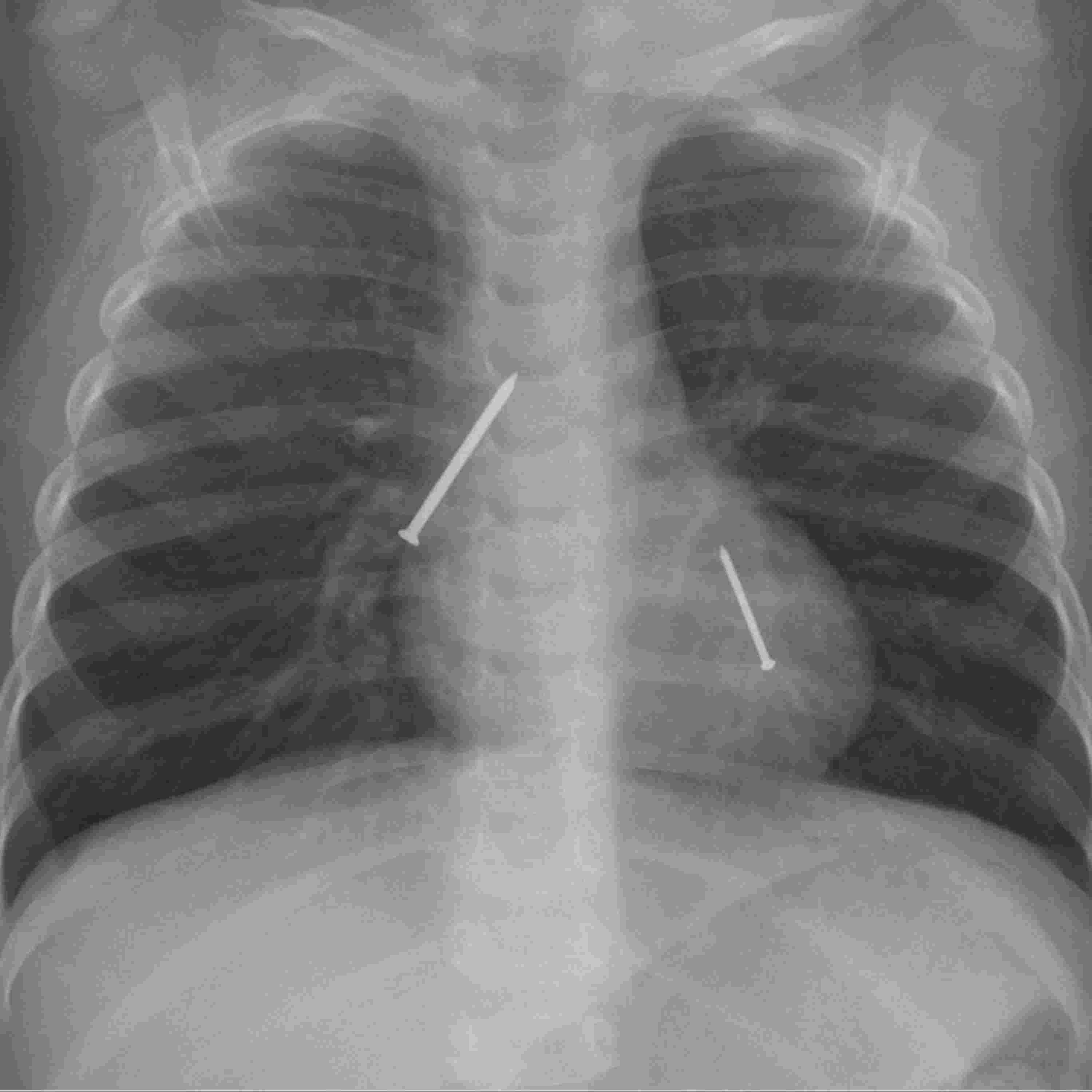
Last time we discussed swallowed foreign objects, today it's INHALED items. Do you know what to do - and NOT do - in an emergency choking situation? What if your child was choking, but now seems fine? Dr. Bee breaks down the types and signs of choking, and what to do for prevent a bad outcome for your child.